환상으로 가득한 영화 '라이프 오브 파이'. 인도에서 동물원을 하다가 동물들을 싣고 이민을 가던 가족이 폭풍우를 만나 배가 침몰한다. 혼자 살아 남은 파이. 그는 구명 보트에서 다친 얼룩말과 하이에나, 오랑우탕과 함께 표류한다. 그런데... 보트 아래 호랑이 한 마리가 숨어 있었다. '리처드 파커'라는 이름의 벵골 호랑이. 이 기묘한 동거는 신비함 가득한 모험으로 이어진다.
세계적인 베스트셀러 소설을 영화로 만든 '라이프 오브 파이'의 주인공 파이의 성인역을 맡았던 배우 이르판 칸이 암으로 숨졌다. 향년 54세. 그가 출연한 영화는 '쥐라기 월드' '인페르노' '어메이징 스파이더맨' '뉴욕' '장미빛 사랑은 없다' 등 40여편.
이르판 칸은 2018년 희귀암인 신경내분비종양으로 투병한다는 사실이 알려졌다.
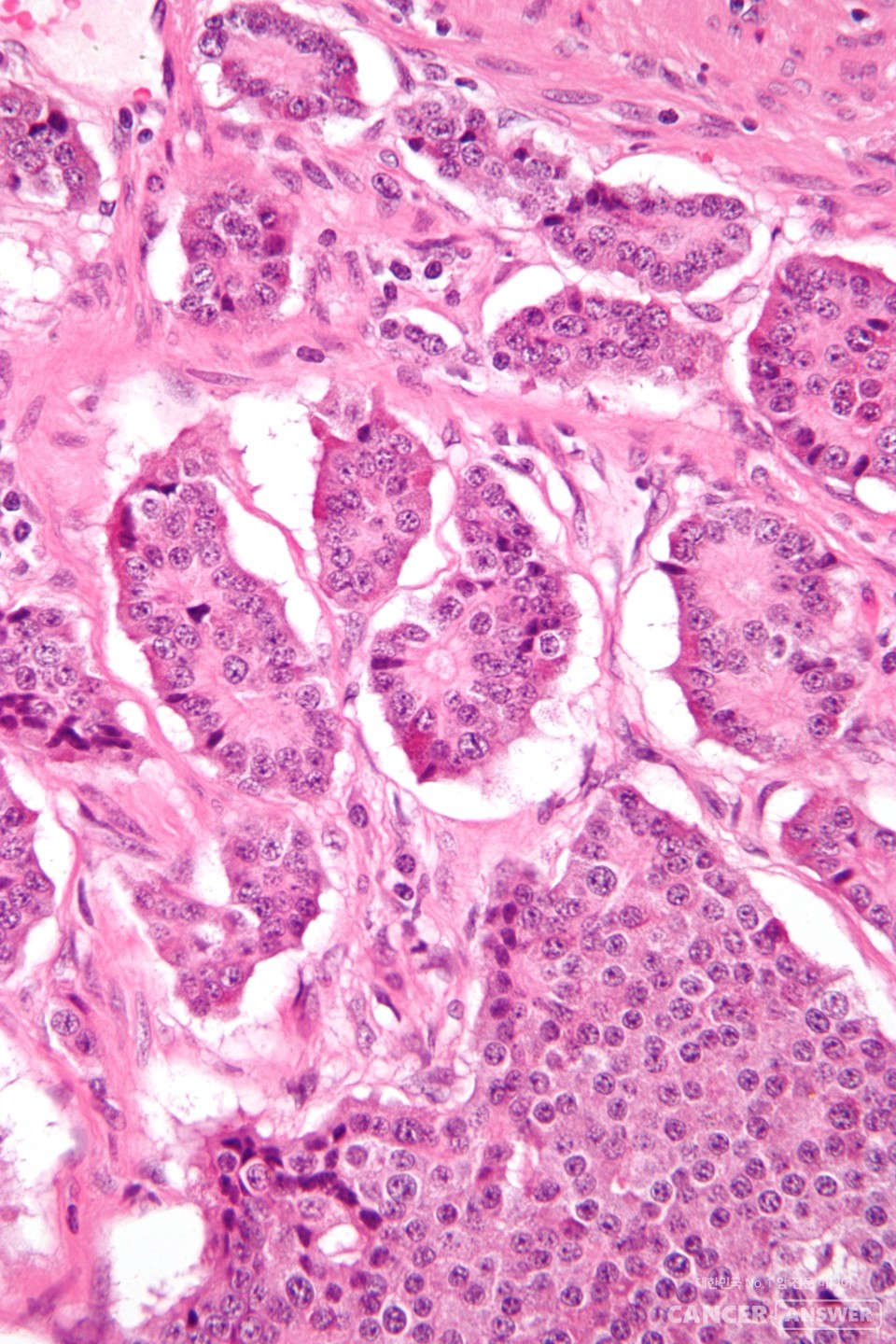
이르판 칸이 앓은 신경내분비종양(neuroendocrine tumor)은 신경계와 내분비계 조직이 뭉쳐 발병하는 종양. 소화기계통인 위, 췌장, 대장, 충수, 십이지장 등에 많이 발생하는 종양으로, 유암종 혹은 카르시노이드 종양이라고도 불린다. 악성이 아닌 경계성종양으로 취급되지만, 종양이 커지면 다른 장기로 전이되기 쉽다.
전이되기 전에는 수술로 제거하고, 다른 장기로 전이된 경우엔 약물치료나 방사선 치료 등이 이뤄진다. 초기엔 특이증상이 없다가, 다른 장기로 전이가 이뤄지면 안면홍조, 설사, 호흡곤란, 복부 팽만 등의 증상이 나타난다.
2016년 대한상부위장관-헬리코박터학회 추계심포지엄에서 발표된 정대영 가톨릭대 내과학교실 교수의 <특이한 상부위장관 질환 이해하기- 신경내분비 종양>에 따르면, 최근 진단장비들의 개발로 그 발생 건수가 급증하고 있는 신경내분비종양은 어느 정도 진행되고 나면 치료가 어렵고 예후도 불량해 조기진단이 중요하다. '비교적 희귀한 암이기 때문에 아직은 사회적 비용을 고려할 때 국가조기암진단사업의 내시경 검진이 가장 효율적인 선별검사'이다.
