서울대병원 연구진이 국내 인공지능 판독 보조 소프트웨어를 활용해 흉부 X선 영상에서 폐암의 주요 소견인 폐 결절 검출률을 향상시킨 것으로 확인됐다.
서울대병원 영상의학과 구진모·남주강 교수는 2020년 6월부터 2021년 12월까지 서울대병원 건강증진센터의 건강검진 수검자 1만476명을 대상으로 상용화된 인공지능 기반 CAD(컴퓨터 보조 진단 시스템)가 흉부 X선 영상에서 폐 결절의 검출률을 향상시킬 수 있는지 조사하기 위해 무작위 배정 임상시험을 진행한 연구 결과를 17일 발표했다.
의료영상 분야 최고 권위의 국제학술지인 ‘래디올로지(Radiology)’에 최근 발표된 이 연구는 보건복지부의 지원으로 시행됐다.
연구팀은 수검자를 5238명씩 두 그룹으로 △인공지능 사용군 △인공지능 비사용군으로 무작위 배정해 수검자들의 흉부 X선 영상을 판독했다.
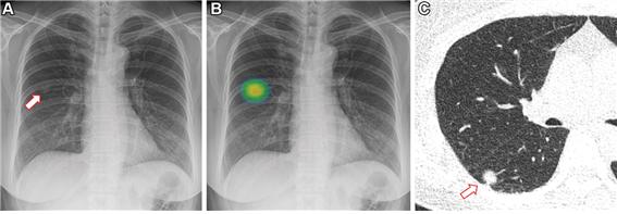
인공지능 사용군의 경우 루닛 인사이트를 활용해 인공지능이 병변을 컬러맵으로 표시해주면 영상의학과 전문의가 이 결과를 참고해 최종 판독했고, 인공지능 비사용군의 경우 영상의학과 전문의가 인공지능 기반 CAD 활용 없이 흉부 X선 영상을 해석했다.
그 결과, 인공지능 사용군의 폐 결절 검출률은 0.59%(5238명 중 31명)로, 비사용군의 0.25%(5238명 중 13명)에 비해 약 2.4배 유의미하게 높았다.
또한 연구팀은 인공지능 사용 시 결절이 없는데 있다고 보고되는 가양성이 증가해 불필요한 검사를 하게 될 우려가 있을 수 있어, 양군 간 가의뢰율(전체 양성으로 보고된 환자 중 CT에서 의미 있는 결절이 없는 환자의 비율)을 비교했다.
가의뢰율은 인공지능 사용군에서 45.9%, 비사용군에서 56.0%로 의미 있는 차이가 없었다. 이는 인공지능을 활용 시 불필요한 추가 검사를 증가시키지 않으면서 결절 검출률을 높일 수 있음을 시사한다.
연구팀은 실제 임상환경에서 시행된 이번 무작위 임상시험을 통해 흉부 X선 영상에서 암 사망의 가장 큰 원인인 폐암의 주요 소견인 폐 결절 검출률을 높였다는 점에서 인공지능의 유용성을 확인할 수 있었다고 강조했다.
다만 이 임상시험은 인공지능 결과를 참고해 영상의학과 전문의가 최종 판독한 것이며, 인공지능 단독 판독의 경우 가양성이 증가한다는 것이 보고됐을 뿐 아니라 불필요한 방사선 검사의 증가 등의 위험이 존재하기 때문에 해당 연구 결과의 확대 해석에 주의를 부탁했다.
영상의학과 구진모 교수는 “이번 연구는 인공지능 모델을 의료영상에 적용했을 때 유의미한 효과를 본 세계 최초의 전향적 무작위 임상시험”이라며 “또한 흉부 X선 검사에서 인공지능 사용 시 폐 결절의 검출률이 증가되면서 가의뢰율은 높아지지 않았다는 것은 인공지능을 이용해 판독자가 폐암 등 중요 소견을 보다 효과적으로 찾아낼 수 있음을 보여준 의미 있는 결과”라고 말했다.
